Plants are made for photosynthesis, and photosynthesis is all about using light energy to fix CO2 into carbonhydrates.
Photosynthetic machinery could be broken down into chloroplasts, thylakoid membranes, protein complexes, light and dark reactions, etc. For C4 photosynthesis that equipped with a CO2 pump , we need to further mark leaf anatomy as one of the essential elements, for its high efficiency.
How to turbo-charge photosynthesis?
Maize and rice are the monocot representatives of C4 and C3 plants. A fully functional C4 pathway requires coordinated changes in leaf structure and biochemistry.
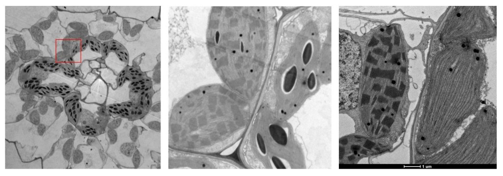
In maize leaves, closely spaced veins are encircled by concentric layers of photosynthetic bundle sheath and mesophyll cells, the anatomy named by the German word “Kranz”. There are consistently 2 mesophyll cells between bundle sheath, and dark green chloroplasts are enriched in bundle sheath cells, compared to rice leaves. Also note that non-stacked thylakoid membranes and accumulated starch specifically display in bundle sheath chloroplasts, different from those in mesophyll cells, known as chloroplast dimorphism.


In C3 photosynthesis, everything happens in a single type of mesophyll cell, so that Rubisco has to react with O2, competing with CO2 fixation. Whereas in C4 plants, there are functionally differentiated bundle sheath cells and mesophyll cells surrounding the viens, with cell specific distribution of C4 enzymes, so that CO2 can be enriched through mesophyll cells into bundle sheath cells, where Rubisco is located and can fix CO2 with increased efficiency. The maize C4 pathway involves promoted cyclic electron transport to provide extra ATP, optimize C4 carbon flow and balance cellular redox. Interestingly, cyclic electron transport, together with carboxysome microcompartment, is also important component of the cyanobacteria CO2 concentrating mechanisms.

In theory, if C3 crop rice could be modified towards C4 photosynthesis, it should feature increased yield, water use efficiency, and nitrogen use efficiency. As a complex pathway, it requires the inputs from plant physiology, biochemistry, cell biology, genetics, evolution, and more. Having agreed with this, there is a world-wide C4 rice research consortium. Peng has been deeply involved in the developmental part of the project while working with Professor Jane Langdale at the University of Oxford.

Essentials of C4 discovering & engineering for crop improvement
A. Activation and differentiation of bundle sheath chloroplasts; B. initiation and development of Kranz leaf anatomy; C. compartment of reactions, which might be light regulated. None of the 3 mechanisms are clear.
Many fundamentals and working mechanisms, especially how light, plant hormone, and transcription factors might together regulate C4 specific development/metabolism remains open question, and becomes open platform for interdisciplinary research. We currently work to build up the connections and aims to use them for future photosynthetic engineering.
Shaping photosynthetic machinery and integrating efficient CO2 assimilation
Drawing inspiration from high-efficiency light-energy utilization and CO2 assimilation strategies exemplified by the C4 photosynthetic pathway in plants and the CO2 concentrating mechanism in cyanobacteria, the team conducts systematic research at the levels of photosynthesis, development, and environmental adaptation. Related studies include:
- Formation and operational regulation of key structures in C4 photosynthetic leaves and chloroplasts (exploring classical questions about the Kranz anatomy);
- Synergistic mechanisms between efficient CO2 concentration and shaping of photosynthetic machinery (deciphering universal strategies for high-efficiency photosynthesis);
- Deciphering and applying the genetic regulatory network of high-efficiency photosynthesis and environmental adaptation (developing high-efficiency carbon-fixing agriculture adapted to global warming).
